此前,媒体报道日本知名老牌视觉系乐队BUCK-TICK的主唱歌手樱井敦司,在演唱会上唱到一段高音时突感身体不适,紧急送往医院抢救后宣告死亡。樱井所属经纪公司后续发出声明,证实其因脑干出血去世,年仅57岁。
唱歌会导致脑出血吗?根据报道,类似的情况已经多次出现。
为什么唱歌会脑出血?
唱歌是一种很有益于身心健康的休闲活动。事实证明,唱歌不仅可以锻炼大脑,还可以锻炼身体,对于改善呼吸、姿势和缓解肌肉张力都很有裨益。聆听和参与音乐被证明可以有效缓解疼痛,并通过增强免疫系统来维持健康。
但是,如果在用力唱高音的过程中情绪特别激动,呼吸方式不对,全身肌肉收缩,产生一过性的血压升高,容易对本就很薄弱的动脉瘤血管壁产生过大的压力,从而使得已经存在的动脉瘤破裂。
2020年6月,辽宁大连的张女士在家庭聚会时,飙《青藏高原》高音,突然头疼剧烈、恶心呕吐,家人紧急将其送医就诊。在全脑血管造影后,发现是动脉瘤破裂,通过2小时介入手术,破裂的动脉瘤被妥善处置。

脑动脉瘤是什么?
为了及时地把养分输送到大脑的每一个角落,我们大脑中的血管又细又密,像蜘蛛网一样分布在全脑。
正常情况下,脑血管中的血流随着心脏跳动而畅通无阻。但是随着年纪的增长,不规律的生活方式,譬如抽烟、喝酒、肥胖等等,血管里有些容易受到血流冲击的区域,譬如转弯、夹角处的血管壁逐渐变薄,在压力下出现了异常的扩大或膨起,突出在血管外,就叫脑动脉瘤,或颅内动脉瘤。

瘤状突起的就是脑动脉瘤 图源:Columbia University
脑动脉瘤到底有多普遍呢?世界范围中的总体发生率为3.2%,也就是每100个人中有3个人伴有脑动脉瘤,而中国35岁以上的人群中每100人就有7位具有动脉瘤。
血管薄弱、受损,长期高血压影响血管壁,以及压力大、生活作息不规律的人都容易引起动脉瘤。这其中,大部分患者没有任何症状,常常需要一些特殊检查才能发现。
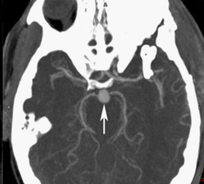
我们使用CT或MRI造影,都能发现动脉瘤的存在。下图这个箭头指的圆圆的、和周围血管不一样的地方就是动脉瘤。

CTA提示基底动脉尖动脉瘤 图源:WestJEM
大部分的动脉瘤并不会破裂,它会老老实实地与我们共存。在具有动脉瘤的人群中,年破裂率为1.2%,破裂以后就是蛛网膜下腔出血,所以我们常常说的脑出血大部分时候是动脉瘤破裂引起的。
而除了飙高音以外,用力排便或者情绪特别激动的时候也易引发动脉瘤破裂。
脑动脉瘤破裂怎么办?
脑动脉瘤一旦破裂,动脉内的血液马上就进入了蛛网膜下腔,这些血液会刺激脑组织和血管神经,出现明显的症状。
患者往往会发作爆炸样的剧烈头痛,并伴有头晕、恶心,还可能伴有一侧手脚偏瘫,无法抬起等,甚至昏迷、生命垂危。此时须牢记,一定要及时送医,不要耽误病情。
破裂的脑动脉瘤外科和介入都能治疗。外科治疗是在微小创口下,伸进去一个小小的钳夹工具(如下图左),通过把动脉瘤整个夹闭,来阻止继续出血,所以效果立竿见影。
血管内介入治疗是医生通过血管输送进去一根长长的微导管,直接到达破裂动脉瘤的部位。然后通过这根中空的微导管,不断输送进去柔软、并能根据动脉瘤形状改变走向的弹簧圈。当输送到一定密度后,这些密集地堆积在一起的弹簧圈能够阻断血流,达到阻止出血、治疗动脉瘤的目的(如下图右)。

脑动脉破裂治疗方法 图源:ICD10monitor
外科治疗及时、夹闭完全的患者,手术后复发的可能性小于1%,后期可根据情况选择是否进行药物治疗。但是需要定期随访,同时注意生活、饮食规律,定期锻炼,以改变内环境,防止其他部位的动脉瘤再出现。
脑动脉瘤就是大脑血管给我们的一个SOS信号,及时处理后仍然能获得良好的生活质量,而忽视这个身体信号的话,则会给我们带来不能承担的后果。
健康小贴士
唱歌是好事,高音需谨慎;
发现异常不要慌,及时救治保平安。

